Headaches are a real trouble to deal with throughout the day. The discomfort keeps the mind distracted from activities that require attention. Suddenly, you realize your jaw aches and feels stiff. This pain might be tied to something deeper, like impacted molars growing in the back of your mouth. These late-blooming teeth often lack enough space, leading to pressure and swelling in the surrounding area. That pressure can travel up to your head, making it feel like a constant tension.
So, you start to wonder, can wisdom teeth cause headaches? The answer is in this blog. Read to know.
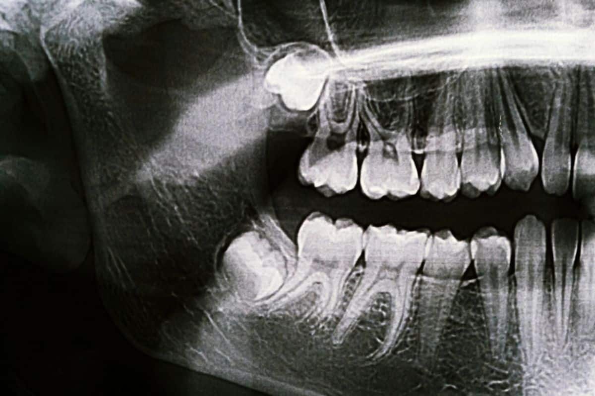
How Are Headaches Related To Wisdom Teeth?
Wisdom teeth are the last set of molars that typically emerge in your late teens or early twenties. When these teeth do not have enough room to grow in properly, they become impacted, meaning they grow at an angle or remain trapped beneath the gum line.
Due to this, it can lead to several complications that put pressure on your jaw and surrounding nerves, potentially triggering pain.
Jaw tension caused by wisdom teeth can radiate pain to other areas of the face and head. In fact, inflammation around the area can cause swelling, increasing pressure on the nerves and causing discomfort that feels like sinus or eye strain — a reason many people visit the dentist for evaluation and relief.
Symptoms Your Wisdom Teeth Are Causing Constant Pain
If your wisdom teeth are indeed the source of your discomfort, several treatment options are available depending on the severity of the issue:
- Jaw Stiffness Or Pain: Pain or stiffness at the back of your mouth or jaw that gets aggravated while chewing or talking can be a sign of impacted wisdom teeth.
- Swollen Gums: If the gums around your molars appear red, swollen, or sensitive, it indicates infection or irritation caused by partially erupted teeth.
- Pain In The Temples Or Behind The Eyes: This kind of referred pain is experienced when molar teeth exert tension on facial nerves.
- Earaches or Neck Pain: Pressure on nerves may radiate into surrounding regions and result in discomfort beyond your jaw.
- Bad Taste And Breath: Infection or food trapped near the spot can result in constant lousy breath or unusual taste in your mouth.
Treatment Options To Consider For Quick Relief
Once the root cause is recognized, finding relief becomes easier for you and the dentist. For relief, there are various treatments medically administered safely with positive outcomes. They are:
- Monitoring: A dentist can advise you to monitor your wisdom teeth with routine examinations if they erupt without trouble.
- Medication: Anti-inflammatory drugs and over-the-counter pain medicines can help temporarily control headaches and ease jaw tightness.
- Oral Rinses: Rinses with warm salt water can help ease pain and inflammation around partially erupted wisdom teeth.
- Wisdom Tooth Extraction: This is frequently the best course of action if your third molars are impacted or causing ongoing tension. It is an effective surgery performed with sedation or local anesthesia under supervision.
So, if you are thinking, can wisdom teeth cause headaches, they can! You only need to acknowledge the symptoms without ignorance. From jaw pain and swelling to referred headaches and infections, third molars can cause severe oral conditions if left untreated. If you are experiencing these symptoms, do not wait for them to worsen. Schedule a consultation with Dr. Prashant Patel to get a proper diagnosis and the relief you deserve.
